. Royal Medical Trip

Facettes Dentaires


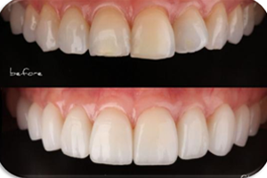
Une facette dentaire est un revêtement fin en céramique qui recouvre la surface visible des dents pour améliorer leur apparence. Les facettes sont souvent utilisées pour corriger des problèmes tels que des dents tachetées, déformées ou irrégulières. Elles peuvent également être utilisées pour réduire les espaces entre les dents ou pour donner à une dent un aspect plus long. Les facettes dentaires sont généralement fixées à l'aide d'un adhésif dentaire et sont considérées comme un moyen durable et esthétique de corriger les problèmes de sourire.

OBTENIR UN DEVIS